
Bottlenose dolphins in Florida. (Wendy Noke Durden via SWNS)
By Stephen Beech
Stranded dolphins may have dementia, suggests a new study.
The marine mammals could be suffering from a form of Alzheimer’s disease when they get washed up on beaches, according to scientists.
They say the debilitating condition may be triggered by naturally occurring cyanobacterial toxins, which may also cause dementia in humans.
Finding a beached dolphin or whale is one of the most distressing occurrences for nature lovers
Researchers have been trying to work out why marine mammals become stranded on shore in the first place.
A group of American scientists have come up with an unusual hypothesis: just as adult humans with dementia are sometimes found wandering far from their home, perhaps dolphins become similarly disoriented by suffering from a form of Alzheimer’s disease.

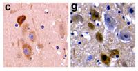
Beta-amyloid pathology in a stranded dolphin brain; g: hyperphosphorylated tau protein in the brain of a stranded dolphin. (David Davis via SWNS)
In the case of marine mammals, the researchers say it appears that Alzheimer's-type neuropathology and disorientation may result from "chronic exposure" to toxic molecules produced by cyanobacteria.
Studies of villagers on the Pacific island of Guam show that chronic dietary exposure to cyanobacterial toxins is associated with misfolded tau proteins and amyloid plaques characteristic of Alzheimer’s disease.
Scientists say the cyanobacterial toxin BMAA, as well as 2,4-Diaminobutyric acid (2,4-DAB), and N-2-aminoethylglycine (AEG), have been found to be extremely toxic to neurons.
They explained that BMAA triggers Alzheimer’s-like neuropathology and cognitive loss in animals.
The toxins can be "biomagnified" up the food chain in the marine ecosystem, according to research published in the journal Communications Biology.
A study of 20 common bottlenose dolphins stranded in the Indian River Lagoon in eastern Florida showed that their brains contained BMAA and 2,4-DAB.

Dr. David Davis is examining neuropathology using a digital Huron TissueScope LE at the Brain Chemistry Labs. (Paul Alan Cox via SWNS)
Co-author Dr. David Davis said: "Dolphins stranded during the summer cyanobacterial bloom season contained 2,900 times the concentration of 2,4-DAB than those from non-bloom seasons.
"Brain neuropathology similar to Alzheimer’s patients, including beta-amyloid plaques and hyperphosphorylated tau proteins, was found in the dolphin brains.
"In addition, TDP-43 protein inclusions characteristic of a particularly severe form of Alzheimer’s were also found in the dolphin brains.
"During bloom seasons, the same dolphins showed 536 differentially expressed genes associated with Alzheimer’s disease."
The duration of cyanobacterial blooms is increasing with climate warming and nutrient inputs associated with agricultural runoff and sewage discharges, say scientists.

Comparative Alzheimer's pathways in dolphins in bloom season. (David Davis via SWNS)
And cyanobacterial-laden waters have often been released down the St. Lucie River from Lake Okeechobee into the Indian River Lagoon.
Dr Davis, from the University of Miami's Miller School of Medicine, said: “Since dolphins are considered environmental sentinels for toxic exposures in marine environments, there are concerns about human health issues associated with cyanobacterial blooms.”
In 2024, Miami-Dade County had the highest prevalence of Alzheimer’s disease in the United States.
Dr. Davis said: “Although there are likely many paths to Alzheimer’s disease, cyanobacterial exposures increasingly appear to be a risk factor."
Dr. Paul Cox, of the Brain Chemistry Labs in Jackson Hole, added: “Among Guam villagers, exposure to cyanobacterial toxins appeared to trigger neurological disease.”