(Brain Tumour Research via SWNS)
By Ben Barry
A dad-of-two was diagnosed with a brain tumor after two decades of unexplained migraines.
Stuart Hill, 62, a highways inspector, was "fit and healthy" aside from migraines and flashing lights that he would suffer on and off.
On April 15, 2025, Stuart was visiting family when he found himself unable to speak or raise his arms.
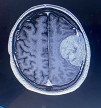
He was blue-lighted to Southmead Hospital, Bristol, where a CT scan revealed a mass on the brain.
Stuart's speech fluctuated, and he was diagnosed with a meningioma - a slow-growing tumor.
Three weeks later, on May 9, Stuart underwent seven hours of surgery, and surgeons successfully removed the entire tumor.
Since returning home to Swansea, Wales, Stuart has continued speech therapy and now undergoes routine scans every three months, moving to six-monthly intervals.
His wife, Bev, 62, said: “That was the first proper sign. I thought it was a stroke.
"By the time the ambulance arrived his speech had started to come back, but they blue-lighted him to Southmead Hospital in Bristol and gave him a CT scan.
"Around 3am they came back and said it wasn’t a stroke, but they had found a mass, and that was the start of it."
(Brain Tumour Research via SWNS)
After being blue-lighted to Southmead Hospital, a CT scan revealed that Stuart had a mass on the brain.
Stuart’s speech fluctuated, and he was prescribed steroids. Surgeons advised that, because there was no evidence of cancer elsewhere, it was likely to be a slow-growing tumor that Stuart could have had for years.
It was recommended that Stuart needed surgery, but the surgeon said there were various high risks, including stroke, impairment or death.
“It was the worst possible news. My first thought was how we were going to tell our daughters, Megan and Jodie," Bev said.
Three weeks later, on May 9, 2025, Stuart underwent seven hours of surgery where surgeons were able to remove the entire tumor.
It had not grown into his brain but was attached to the membrane and skull, part of which had to be removed and reconstructed using bone cement.
Bev said: “When I went in to see him after surgery, he couldn’t speak. It was so upsetting to see him so poorly.
“During this time, Megan was sitting university exams. It affected her terribly. How she got through her exams, I have no idea.”
Although initial scans suggested only normal post-surgical swelling, a subsequent MRI report revealed Stuart had suffered a stroke.
(Brain Tumour Research via SWNS)
The stroke occurred in the area responsible for speech and language, and 10 months on, he is still struggling with his speech.
Stuart also experienced a seizure and now takes anti-seizure medication twice daily.
Stuart's daughter, Megan, 24, is taking on the Swansea Half Marathon on Sunday 7 June to raise money for Brain Tumour Research, and Bev hosted a fundraising event featuring activities, singers and raffle prizes.
Together, they hope to raise $3,000 which would fund more than a day’s research , such as that taking place at the Brain Tumour Research Centre of Excellence at the University of Plymouth.
Bev said: “For us, we have a happy ending. But we know more funding is needed for research, and we want to do our part to make sure other families can have an ending like ours.”
Letty Greenfield, community development manager at Brain Tumour Research, said: “We are so grateful to Stuart, Bev and Megan for sharing their story and for turning such a frightening experience into positive action.
"While we celebrate Stuart’s recovery, too many families face a very different outcome.
"Brain tumors remain severely underfunded, and it is only through increased awareness and sustained investment in research that we can improve survival and ultimately find a cure.
"Supporters like the Hill family are helping us move closer to that goal.”




